إستشارية تقويم الأسنان
دكتورة نازش أمجد
- للحجز والمواعيد : نرجو التواصل اولا
- البريد الإلكتروني : nazishamjad86@gmail.com
- الواتس اب : +966 50 395 9339
نبذة تعريفية
تُعد د. نازش أمجد واحدة من أبرز استشاريات تقويم الأسنان في منطقة الطائف، بخبرة تزيد عن 12 عامًا في تقديم حلول دقيقة وفعالة لتقويم الأسنان والفكين، وتحقيق الابتسامة المتناسقة التي يحلم بها الجميع.
حاصلة على شهادة الاستشاري في تقويم الأسنان من جهات طبية معتمدة، وشاركت في العديد من الدورات الدولية المتخصصة في أحدث تقنيات التقويم، مما يجعلها قادرة على التعامل مع جميع الحالات – البسيطة والمعقدة – باستخدام تقنيات عصرية ونتائج مضمونة.
تتميز د. نازش بقدرتها على دمج الجانب العلاجي بالجمالي، حيث تهدف إلى تحسين اصطفاف الأسنان وتصحيح مشكلات الفك دون التأثير على المظهر الطبيعي للمريض، وبأقل قدر من الانزعاج.
التعليم والخبرة
التعليم :
دكتوراه في طب الأسنان - كلية الطب والجراحين الباكستانية
مجال التخصص:
إستشارية تقويم الأسنان
سنوات الخبرة:
خبرة مهنية تزيد عن 12 سنة
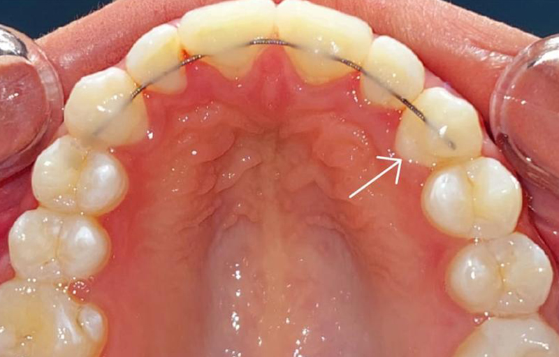
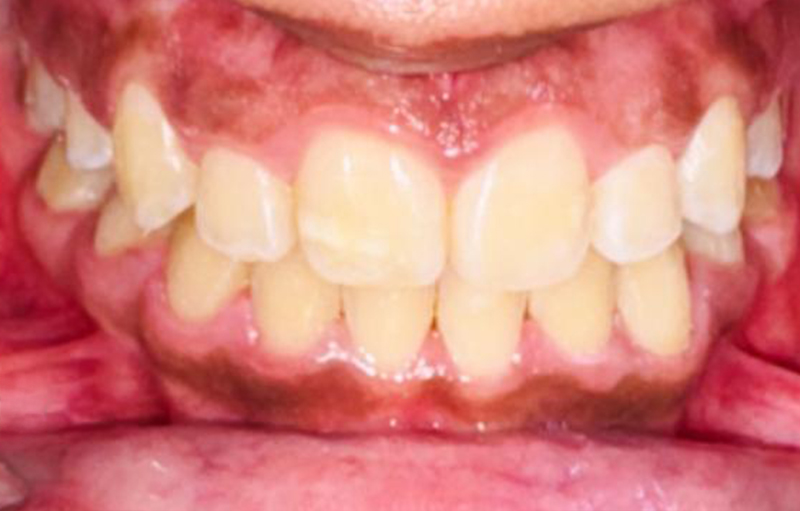
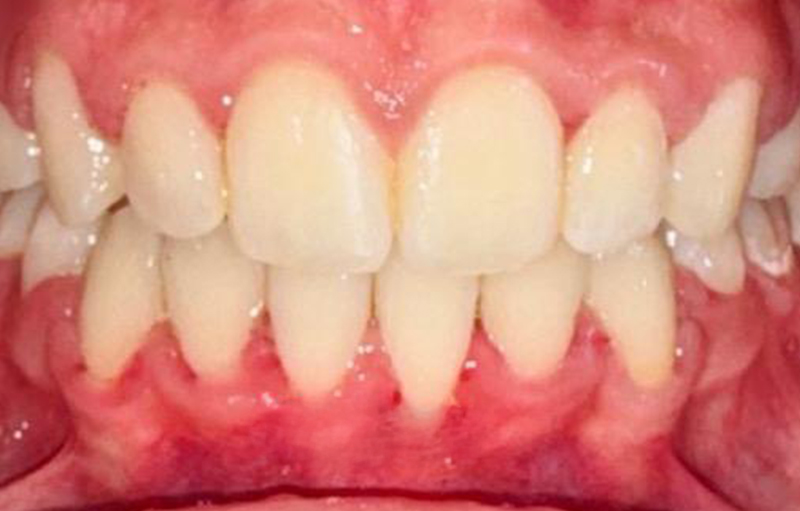
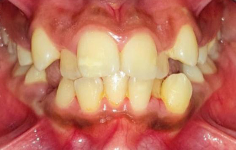
✨ نتائج واقعية لبعض الحالات:
أوقات الدوام
| يوم السبت | 10:00am : 12:00pm 4:30pm : 10:30pm |
|---|
| يوم الأحد | 10:00am : 12:00pm 4:30pm : 10:30pm |
|---|
| يوم الإثنين | 10:00am : 12:00pm 4:30pm : 10:30pm |
|---|
| يوم الثلاثاء | 10:00am : 12:00pm 4:30pm : 10:30pm |
|---|
| يوم الأربعاء | 10:00am : 12:00pm 4:30pm : 10:30pm |
|---|
| يوم الخميس | 10:00am : 12:00pm 4:30pm : 10:30pm |
|---|
شهادات العملاء
دكتورة نازش ماشاءالله تبارك الله كنز مجمع كوكب الشفاء شغلها عظيم و متقن ويدها خفيفة تطمن المراجع لدرجة ما تخاف وانت مسلّم نفسك لها ، سويت التقويم عندها وكنت متخوفه فالبدايه من اسناني ما تزبط خاصة اني مركبة تركيبات امامية ومن احترافيتها فالشغل التركيبات ما خربت ماشاءالله!! والحمدلله النتيجة جدا مرضيه ولا ندمت على اختياري لها يعطيها الف عافيه 🫶🏼🫶🏼
reem
٤ مراجعات
سويت اسناني عند دكتوره نازش وماندمت ابدًا سلمتها نفسي وانا متخوفه لاني قد سويت تقويم قبل ولا كاني سويت صراحه مع دكتوره نازش انبهرت فالنتيجه جدًا شغلها نظيف واخلاقها عسللل ويدها خفيفة مرااا اتمنى تكافؤنها على شغلها واهتمامها بالمرضى ، الله يسعدها ياربب كل م ابتسمت ذكرتها بدعوه ♥️♥️♥️♥️🌷
Anhar
٥ مراجعات
مجمع ممتاز واشكر بالاخص د/ نازش تسلم يدها ف التقويم
ماشاء الله خلال 8 اشهر تعدلت اسنان ولدى انصح فيها وبقوه
توته
٣ مراجعات
تجربتي كانت عند دكتوره نازش ماشاءالله فعلا اشطر دكتوره تقويم تعاملها راقي جدا وشاطره عندها امانه في الشغل حابه اشكرها النتيجه النهائيه مرضيه جدا حالتى كانت صعبه معاها ماشاءالله زبطت اسناني بجد وجودها في مجمع كوكب مكسب انصح الجميع يروحه عندها اشطر دكتوره تقويم بالطائف كنت خايفه قبل مااروح بس معاها نسيت الخوف شكرا يااشطر دكتوره ❤️
رولا محمد
٤ مراجعات
تجربة جدًا رائعة عند دكتورة نازش تقويم الاسنان
اخذت وقت ١١ شهر وانتهيت من التقويم 👍🏻
B.A
٤ مراجعات
كانت من احسن التجارب خصوصاً دكتوره نهى يابنات صدق لاتتعدونها شغل واسلوب تبارك الله ماشاءالله اتعب وانا اقول افضللل دكتوره😢❤️ ومن بعد تجربتي معاها بالفيلر والبشره بصير اعتمدها دكتورتي بإذن الله🙏🏻 …
Fn
٥ مراجعات
يشرفنا زيارتكم
مجمع كوكب الشفاء الطبي
حي القمرية – الطائف
يمكنكم التواصل والإستفسارات
لحجز موعد بمجمع كوكب الشفا الطبي بالطائف مع الدكتورة/ نهى الخير
عبر تطبيق الواتس بكل سهولة
عبر تطبيق الواتس بكل سهولة
عروض عيادة الجلدية والتجميل
Products Not Found
